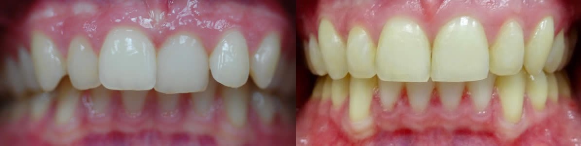
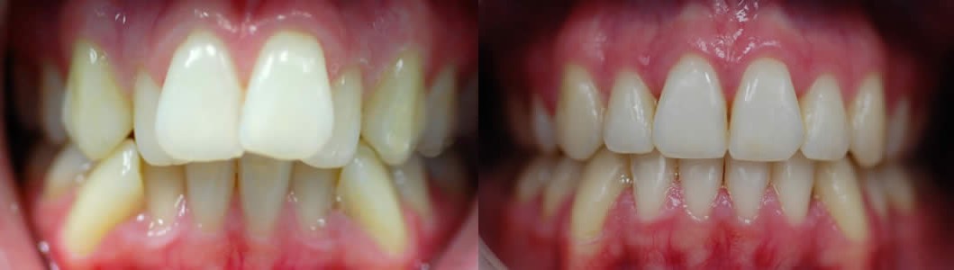
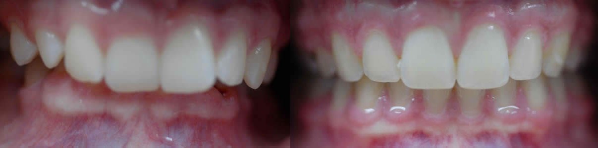
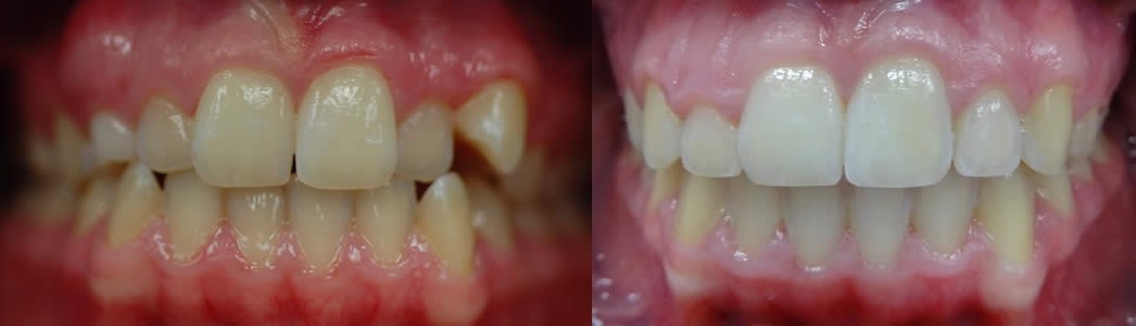
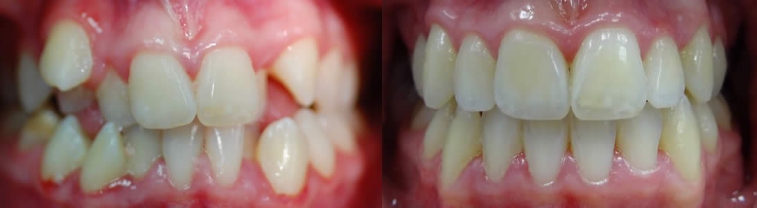
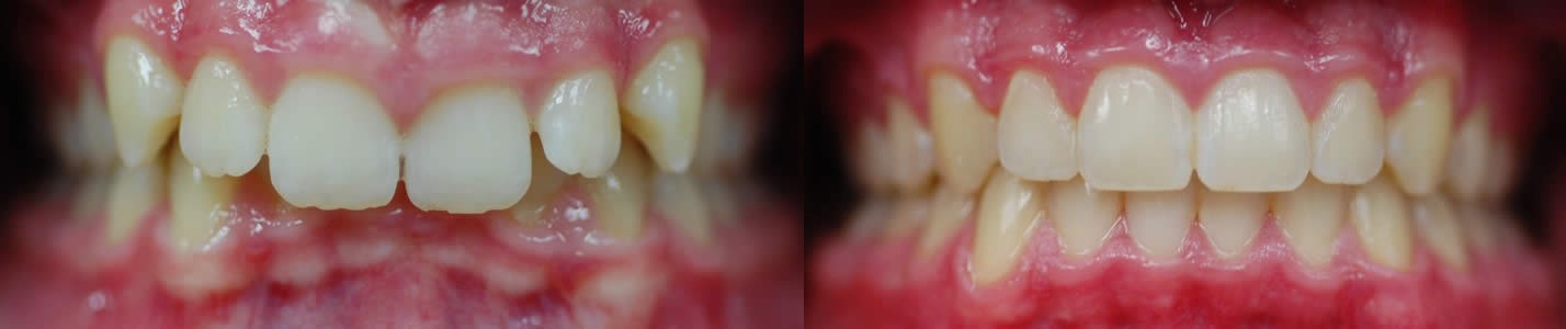
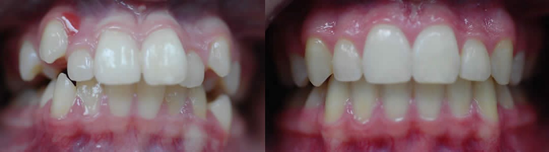
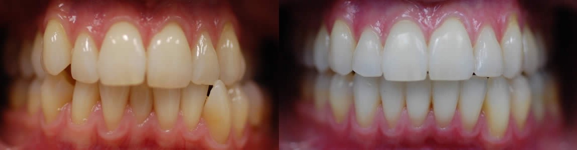
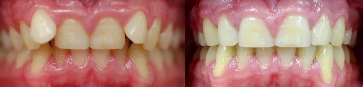
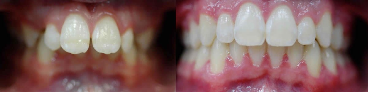
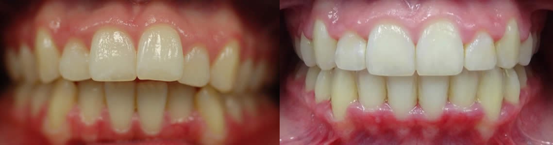
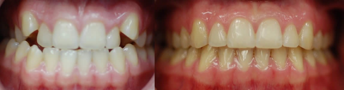
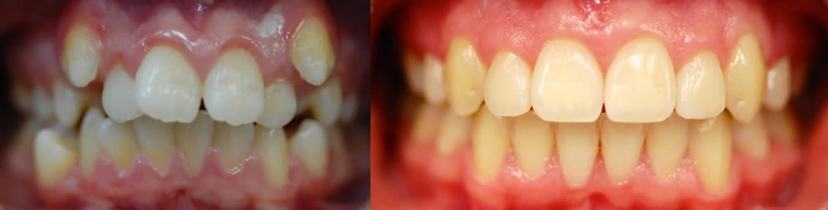
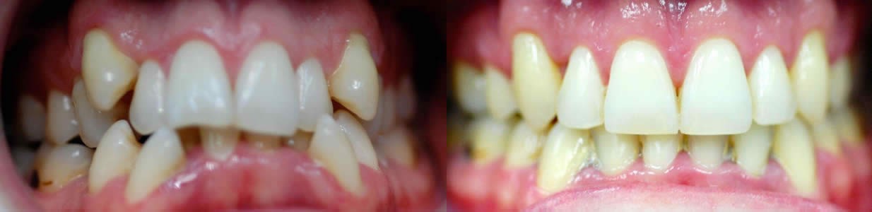
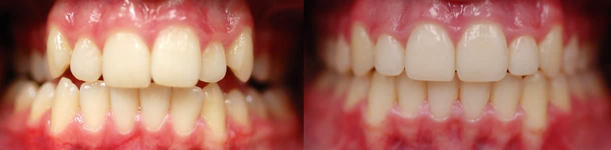
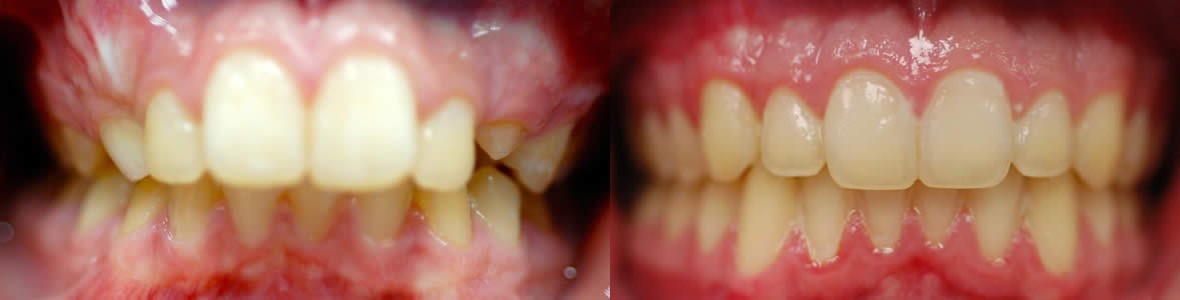
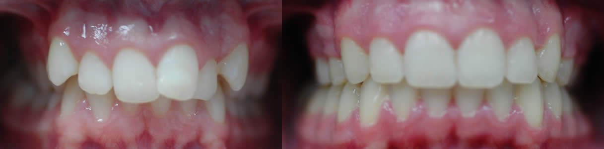
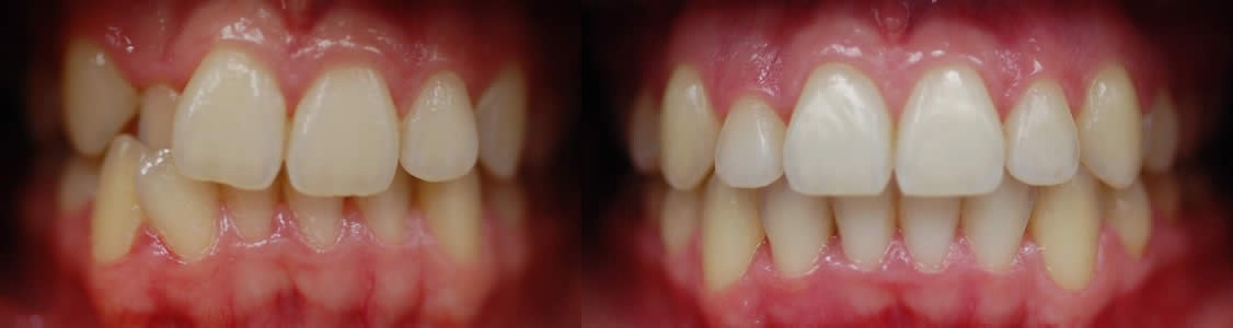
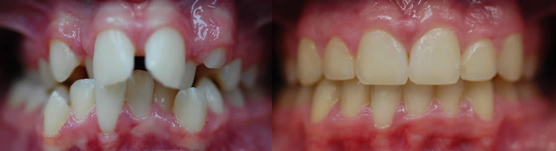
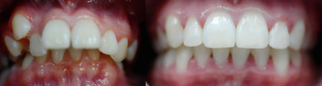
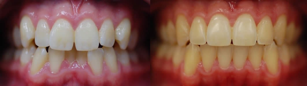
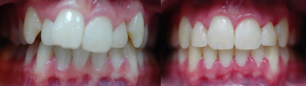
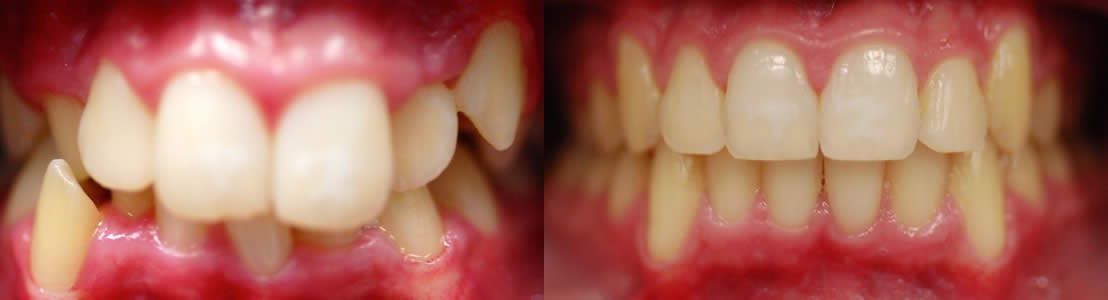
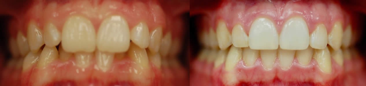
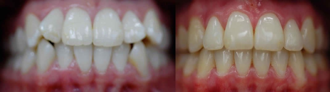
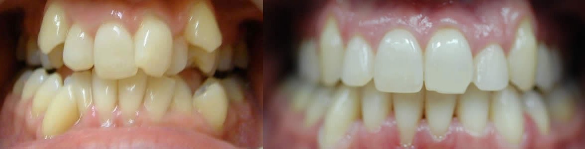
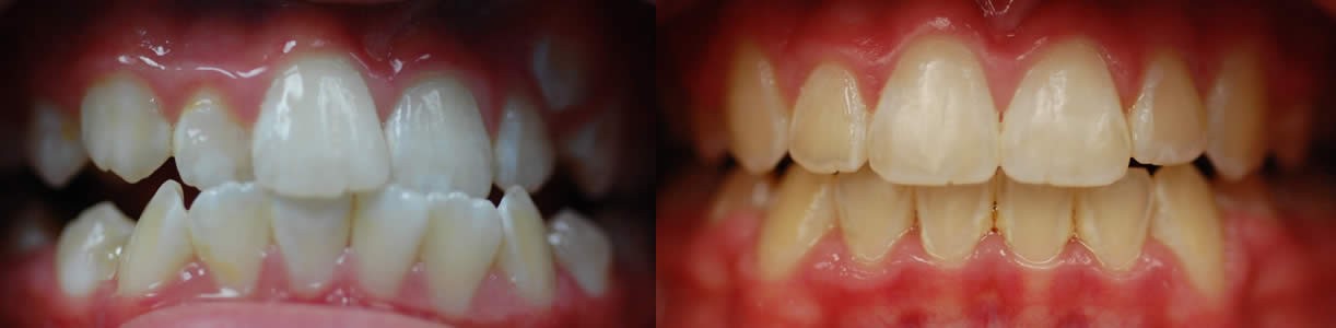
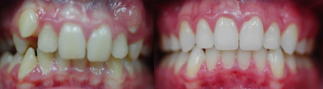
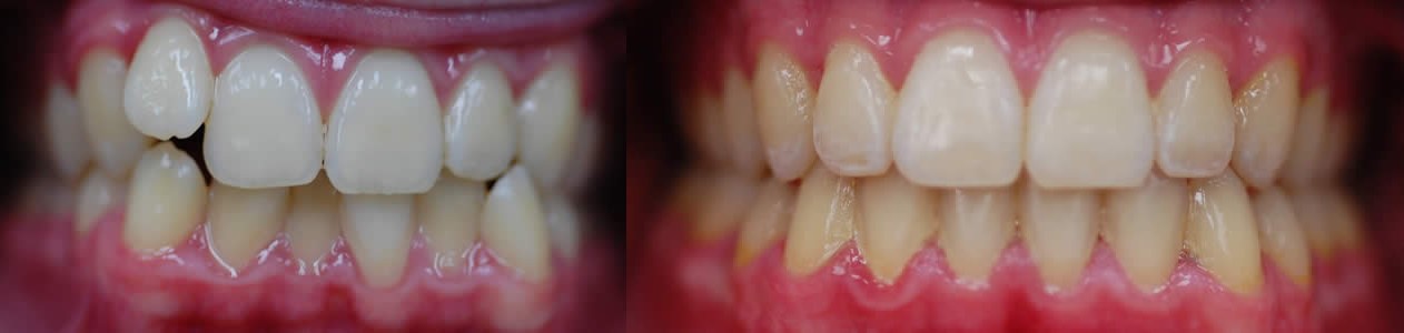
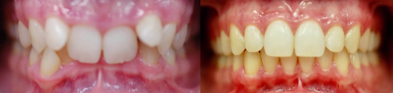
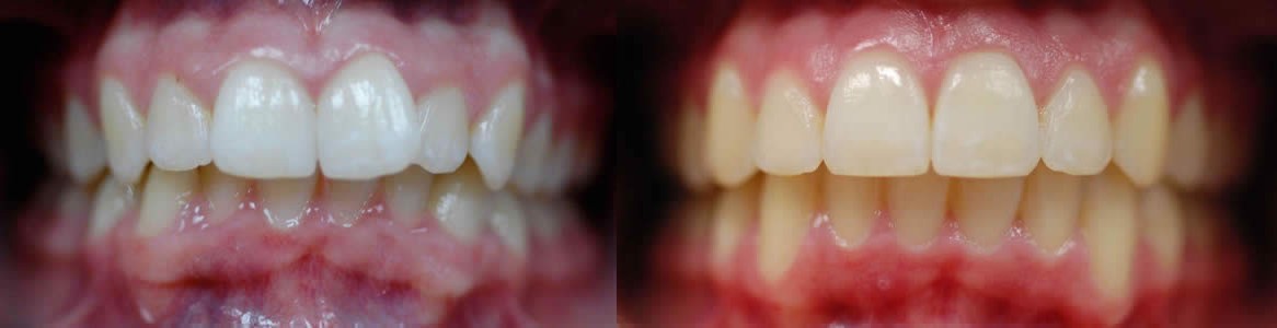
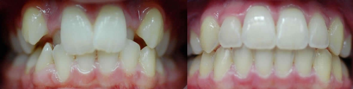
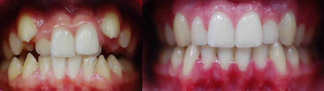
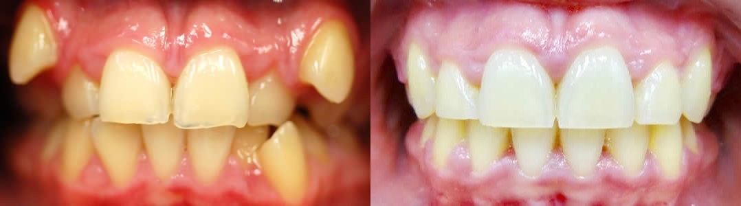
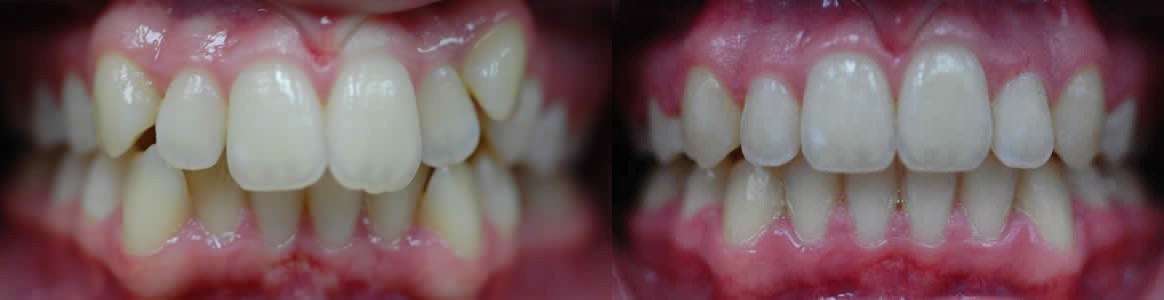
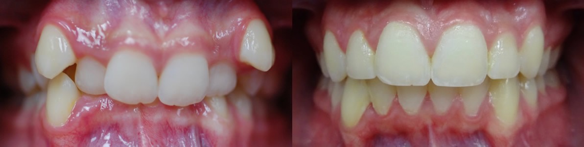
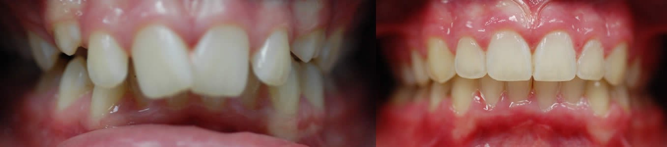
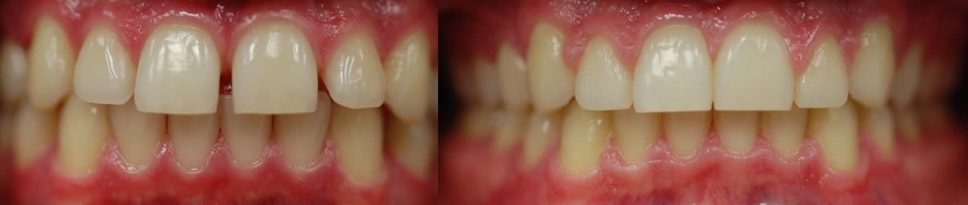
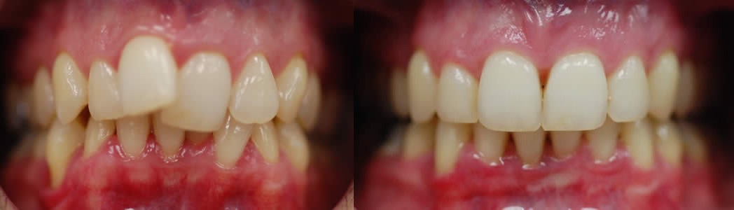
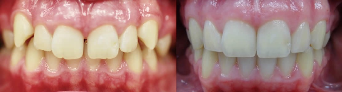
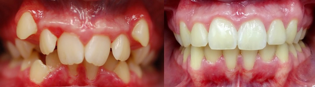
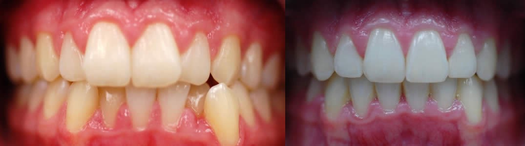
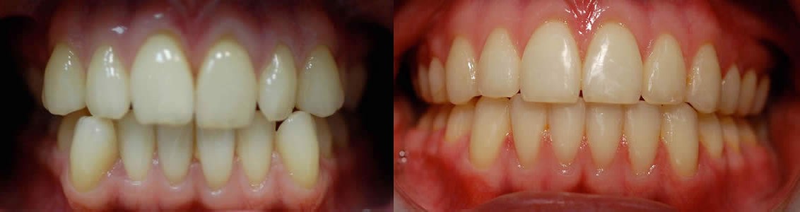
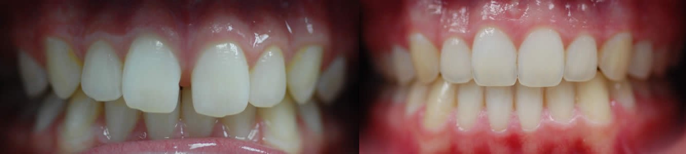
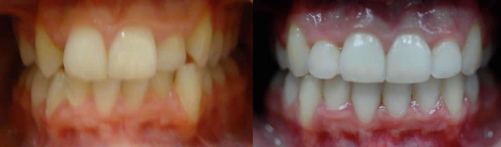
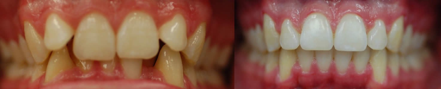
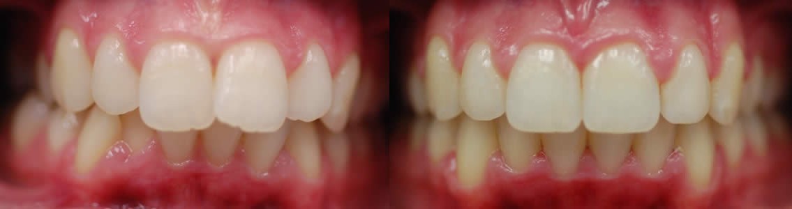
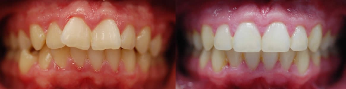
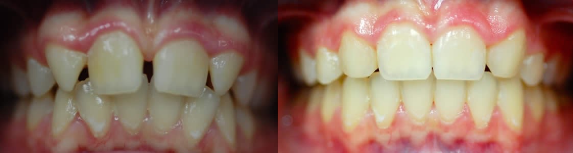
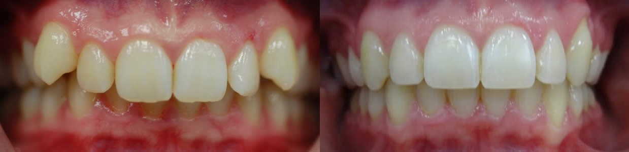
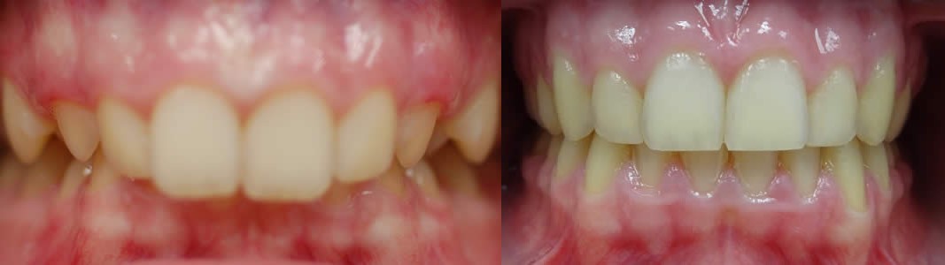
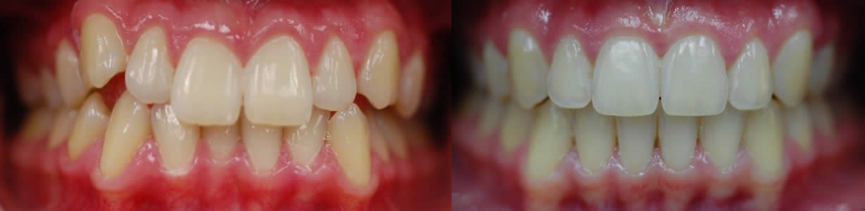
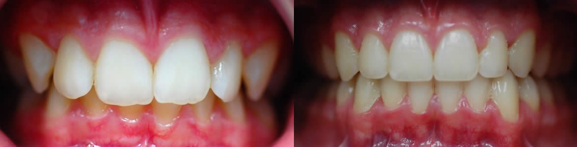
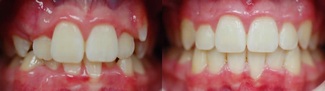
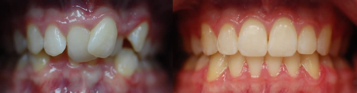
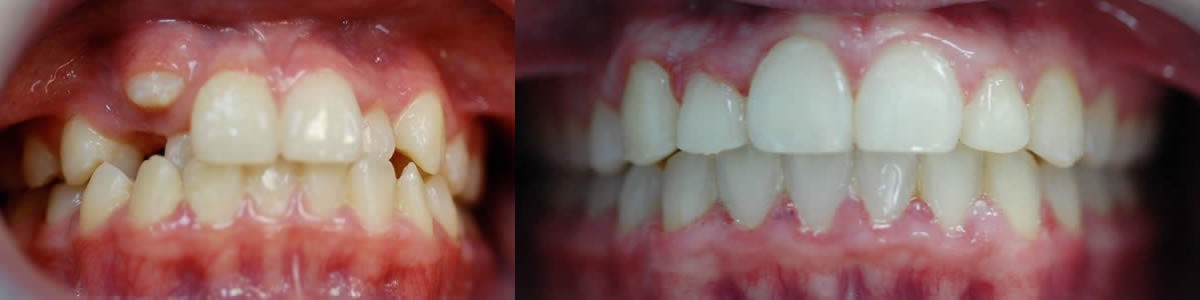
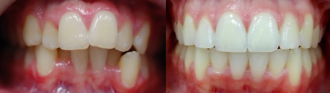
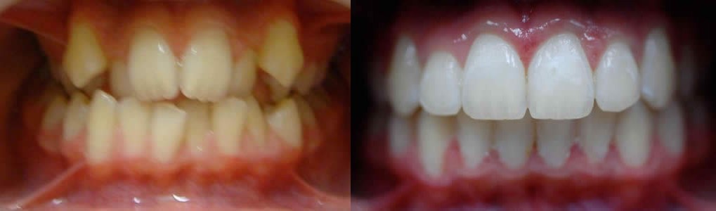
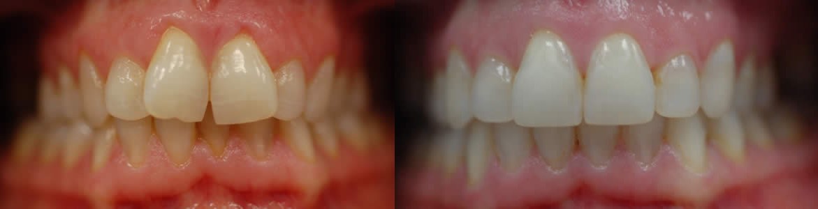
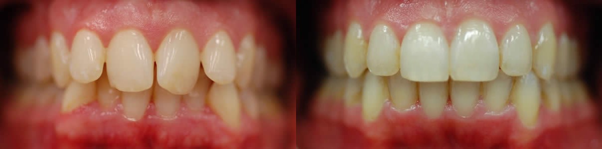
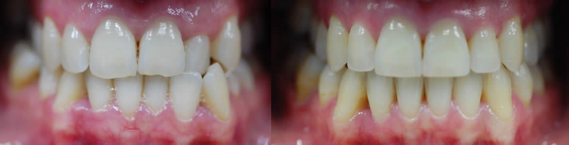
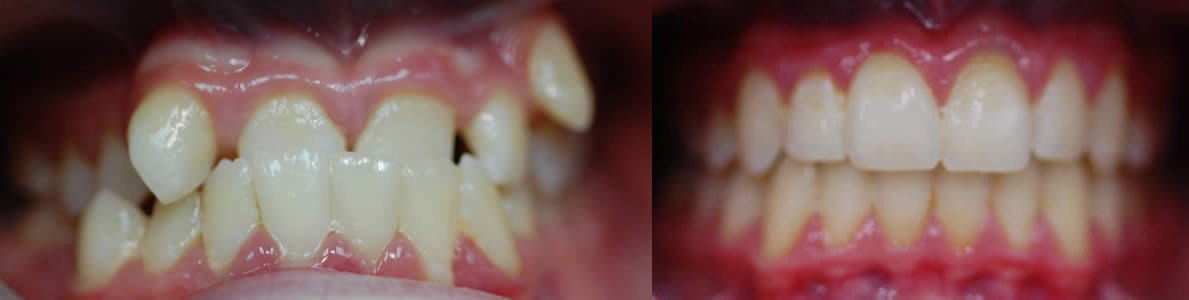
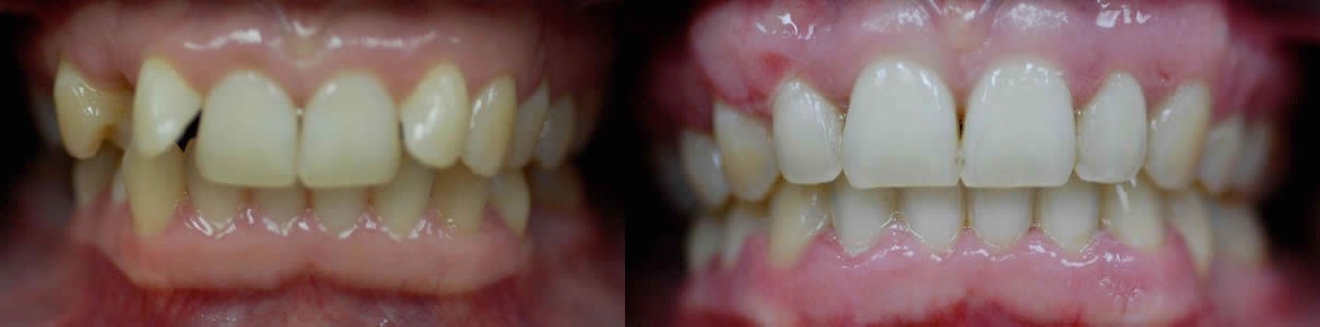
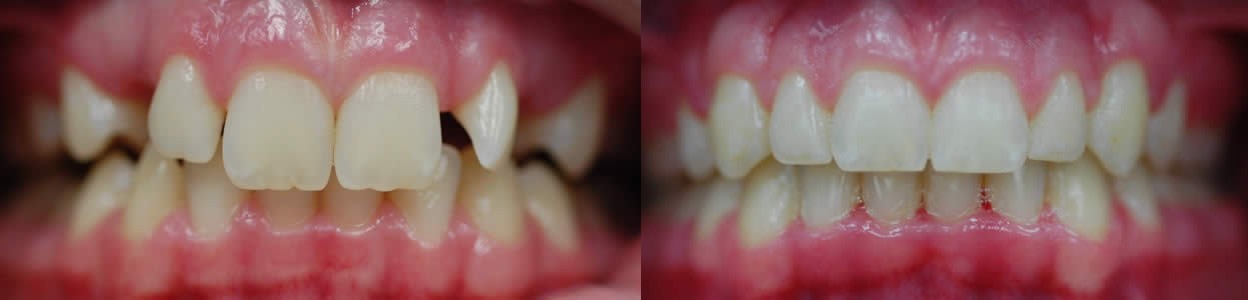
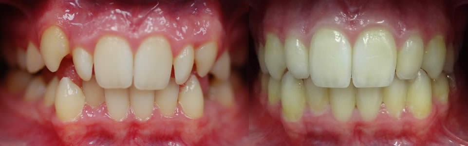
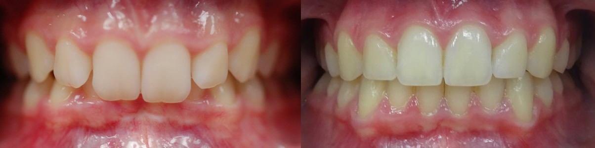
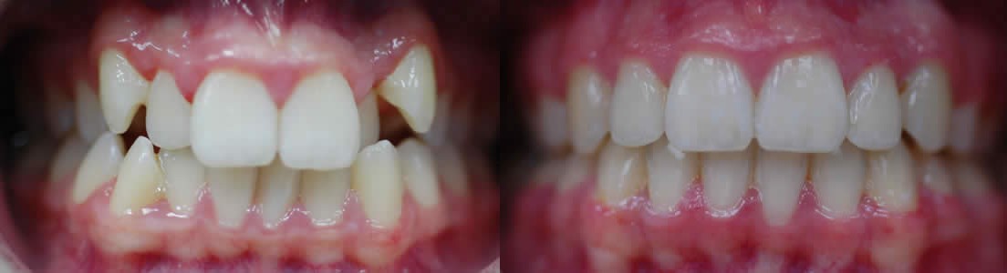
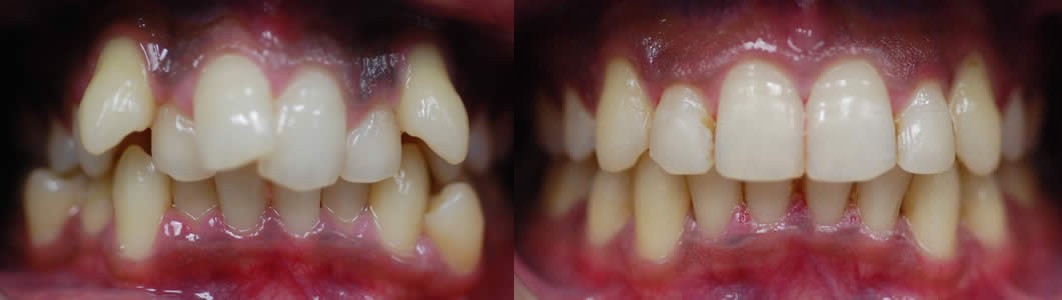
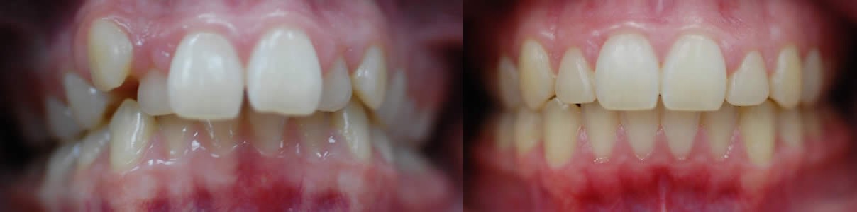
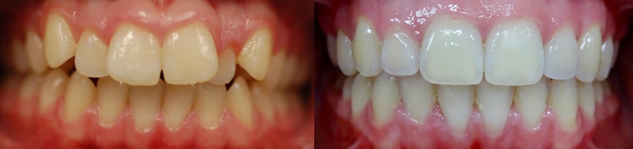
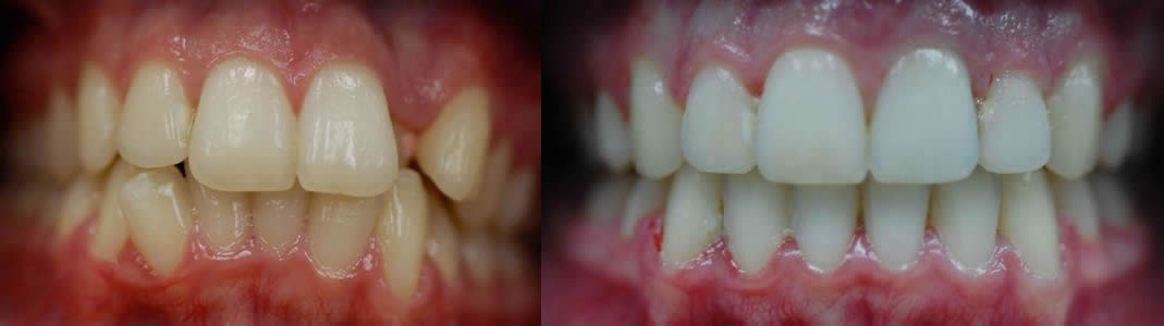
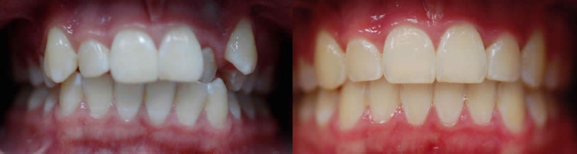
FIND YOUR SMILE

Please browse through the gallery to find a smile that closely matches yours. Simply click on the image to see how it may look after orthodontic treatment. Many thanks to all our patients who generously gave their permission to allow their images be included in the gallery. All cases were completed by Aidan in recent years.